Case Report – The Role of New Combination of ADC (Enfortumab vedotin and Immunotherapy (Keytruda) in recurrent and refractory advanced Urothelial Cancer – giving patients doomed to death a New Lease of Life.
Mr. ASLAN MUKASHEV, a 45 years old male patient complaints of hematuria and lower back pain for 2 months.
- History of swelling in right flank for 1 month. Status post UB resection in 2012.
- Status post 4 cycles of Chemotherapy (Gemcitabine + Cisplatin in 2012).
- Patient was not on any treatment during the period of 2012 to 2021
- In 2021 history of alternative medicine and history of procedure in the lower back area for ? draining of fluid recovered after 1 day.
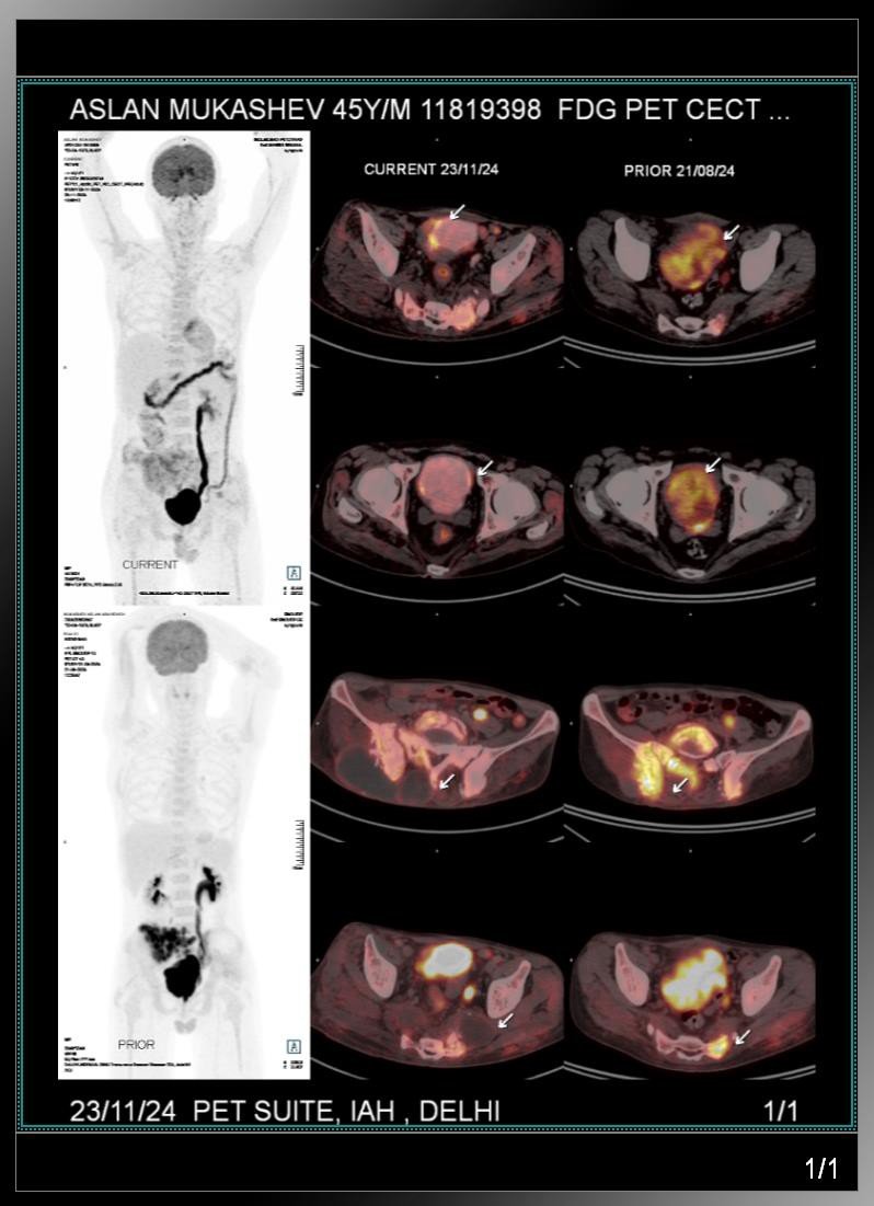
PET CT (21.08.2024) (Translated)
- Recurrence of the main cancer disease FDG avid urinary bladder wall thickening.
- Signs of secondary (mets) damage to skeletal bones (L4, L5 vertebra, sacrum, iliac bones bilateral with high metabolic
activity).
- Mild uptake in the line of the inguinal groups bilateral are suspicious of secondary (mets).
- Left side hydroureter nephritis.
- Concretions in urinary bladder.
PET CT reviewed in India
PET CT CD review revealed extensive mets in right sacrum, ileum and other skeletal mets.
USG KUB on 17.09.2024
USG KUB done on revealed Malignant bladder wall thickening with clots and echoes in the bladder. Left sided gross hydroureteronephrosis, left sided obstructive uropathy.
DTPA Renal Dynamic study on 18.09.2024
DTPA Renal Dynamic study on 18.09.2024 showed right non obstructed normally functioning kidney.
Left hydroureteronephrotic, ? partially obstructed (VUJ)
kidney with adequate function and slow drainage. GFR total 79.65, right 40.61, left 39.04.
2D Echo on 18.09.2024
2D Echo on 18.09.2024 showed EF 60% and mild LVH.
Cystoscopy with TURBT with Biopsy was done on 20.09.2024
TURBT biopsy (21/09/2024)suggestive of high grade urothelial carcinoma.
Treatment protocol
Chemotherapy + Immunotherapy
- 8 doses of weekly PADCEV
- Keytruda
- Last chemotherapy C4D8 (PADCEV + Keytruda)given on 17/10/2024
Received palliative RT to pelvic bone mets from 22.10.2024 to 28.10.2024
Received 2 unit PRC on 22.10.2024 (Hb 8.4).
Review of literature
q One open-label, phase III randomized controlled trial (RCT) (Study EV-301) comparing enfortumab vedotin to standard salvage chemotherapy with docetaxel, paclitaxel, or vinflunine in adult patients with locally advanced or metastatic UC who had received a platinum-containing chemotherapy and who had experienced disease progression or relapse during or following treatment with PD-1 or PD-L1 inhibitors, demonstrated that treatment with enfortumab vedotin resulted in added clinical benefit with a statistically significantly prolonged overall survival (OS) (hazard ratio [HR] = 0.702; 95% confidence interval [CI], 0.556 to 0.886; P = 0.00142) and progression-free survival (PFS) (HR = 0.615; 95% CI, 0.505 to 0.748; P < 0.00001) compared to chemotherapy. The confirmed overall response rate (ORR) was also statistically significant in favour of enfortumab vedotin at 40.6% compared to 17.9% for chemotherapy (P < 0.001).
q Evidence from Study EV-301 showed that enfortumab vedotin was associated with a significantly prolonged OS, with a median OS of 12.88 months for enfortumab vedotin compared to 8.97 months with chemotherapy (HR = 0.702; 95% CI, 0.556 to 0.886). Though statistically significant, pERC considered the results for OS moderate, which was a concern given that Study EV-301 was stopped early for efficacy based on an information fraction of 68.6%; thus, the moderately meaningful OS benefit seen might be an overestimation of the true benefit that could be conferred by enfortumab vedotin. Results for PFS and ORR were consistent with the primary end point. However, pERC noted that there are no treatments for patients that have failed platinum-based chemotherapy and experienced disease progression on PD-1 or PD-L1 inhibitors that has demonstrated improved survival; thus, the Committee considered the benefit of OS and PFS to be clinically meaningful.
